两步教你,如何判断自己长了智齿
如何判断自己是否长了智齿?
关于智齿
智齿一般是在20岁左右开始萌出,而这时的人生理、心理发育接近成熟,于是就被认为是“智慧到来”的象征,因此才有了智齿之称。
值得一提的是,智齿的出现没有固定年龄局限,有的人20岁之前会长智齿,有的人40、50岁才长,还有的人终生不长。
有些人长一两颗,有些人长三四颗,都是正常的。

01、自查法
首先你对着镜子,先找到自己的中线位置。在两个门牙中间,就是中线位置。然后尽可能张大你的嘴,从中线开始往两边数,门牙是第一颗,数到第八颗牙就是智齿。
如果照镜子没发现自己有智齿?那也先别高兴太早,有可能真的还没长智齿,也有可能是智齿阻生了哦,需要通过第二种方法才能知道。

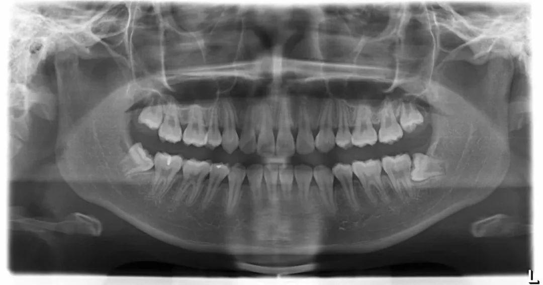
02、拍片法
看不见的不等于不存在,也有可能是埋伏了。看牙片就能清晰看到有没有智齿,智齿长的位置怎么样,要不要拔,一切清晰明了。

标签:
106
18个搞笑段子,让人笑不停...
156
逃不掉的英语,都表示看,如何来区别一图看懂look see watch的区别 在当今全球化的时代,英语的重要性不言而喻,它仿佛无处不在,成为了我们生活和学习中无法逃避的一部分。当我们...
193
能顺利读懂人类自然语言的 AI 才是真・AI @阑夕 : 看了一下数学家陶哲轩从微软那里拿到并使用了「满血版 GPT-4」的自述,举了一个信号非常明显的例子: 他让 GPT-4 看自己的一篇数学论...
64
玉兰花是什么意思有象征着什么意思的词语 玉兰花的象征意义是什么 玉兰花别名白玉兰, 是中国著名的花木 ,原产于中国中部各省的长江流域,玉兰花的颜色是从白色到淡紫红色,...
185
核星国际期待在印度和俄罗斯扩张 据了解,核星国际正全力以赴在财富管理业务中获得领导地位,目前已经针对金融服务领域,推出了全套产品。 核星国际首席执行官艾迪麦卡洛在纽...
128
DNF被策划遗弃的三神器,来个套装属性将完爆一切 说起DNF里的三神器,想必小伙伴们第一时间便会想到英雄王的象征,罗塞塔的石碑以及波利斯的黄金杯,三件装备以全属强增加以及...
95
如果一辈子只做一件家务,你会选择?(准确率男性95%,女性91%) 如果一辈子只做一件家务,你会选择? A.洗碗 B.拖地 C.做饭 D.倒垃圾 (美国著名心里学家巴赫测试(准确率男性95%,女...
116
农民养猪想赚钱?养公猪还是母猪?算一算你可能吓一跳! 现在农村农民赚钱不外乎搞养殖、种植水果、蔬菜或者打工,在作者的家乡大多数在农村的农民还是靠着养猪来赚钱的,这些...
64
你们觉得宇宙有尽头吗? 宇宙是否有尽头是一个复杂而争议的问题,目前尚无定论。 根据我们当前对宇宙的了解,宇宙是无限的且在不断地膨胀。根据大爆炸理论,宇宙起源于大约...
162
“自由潜水”是怎样的体验?来盱眙感受深水魅力 来源:【交汇点新闻客户端】 2024年8月31日—9月1日,中国首届自由潜水深度公开赛在江苏省盱眙县象山国家矿山(地质)公园隆重举...
104
中国内地组合的佼佼者-筷子兄弟 大家熟知筷子兄弟,中国内地涉猎音乐、影视多领域的复合型明星组合。组合成立于2007年,成员为肖央和王太利。其音乐作品具有独特的风格,融合了...
69
你们还有这样的身份证吗?是不是很多00后都没见过 你们还有这样的身份证吗?是不是很多00后都没见过 1,你们还有这样的身份证吗?是不是很多00后都没见过 2,今天输惨了! 3,大娘...
67
男生 扎辫子 发型图 小编自认没这个勇气去留长发扎辫子。但是总会有那么一些长的帅高颜值的男生尝试给我们看。一起来欣赏下留长发扎辫子的男生是什么样的吧。 男生扎辫子发型图...
65
井底-太行之巅-达驼徒步攻略 目的地介绍: 平顺: 位于南太行北缘,是山西旅游资源大县,却因地处深山少为人知,也正因为如此而拥有众多的穿越路线。成为北方少有的户外胜地。此...
61
记录MMA最伟大的格斗选手---菲多.艾米连科---60亿无冕王者 他是格斗史上值得被所有人记住的拳手。 在pride时代,Fedor就是MMA界当之无愧的一哥。出众的抗击打以及顽强的心理素质铸就了...
71
去年的《锦鲤》让人耳目一新 今年的节目领舞华宵一小小剧透! 今晚八点,总台2025年春晚就将拉开帷幕。演播室请进一位春晚演员,她就是舞蹈演员华宵一。 可以剧透一下 今年春晚...
120
梦幻西游75级剧情全攻略 流程怎么玩详解 1、梦幻西游75级剧情全攻略:领取地点天宫(18,129)任务领取人:大力神灵。领取要求:等级≥75,并完成沙僧剧情→打败小白龙,得到2250...
104
辣木籽与什么相克 辣木籽是一种药用价值很高的食物,通常来说在平时不宜与一些含钙量很高的食物同吃,这样会影响人体的消化吸收,也会容易产生结石的症状,同时也不宜与一些生...
184
燃气灶怎么拆下来维修 拆卸燃气灶时,首先用螺丝刀取下固定燃气灶的面板螺钉,并拔下控制旋钮,再取下燃气盖,取下固定水盘的螺丝。用美工刀沿面板,将燃气灶底壳与面板之间的...
160
可可手串是什么材质,库克手串是什么东西 可可手串是什么材质 可可手串的材质一般是藏羚羊角,而藏羚羊角的颜色是黑色的,所以可可手串也被称为黑可可,这种材质制作而成的手...